牙髓內的厭氧菌
牙齦出現乳白色膿腫的牙齒病因有兩類,百分之75%源自牙髓(牙神經)病因, 其他源自於牙周病。病患牙齒常可在X光片出現可透性病兆性陰影。經由牙髓病知名學者Sundqvist G.及本人細菌培養鑑定等幾篇研究發現,大多為厭氧菌種引發發炎導致形成白色膿腫。
治療前


上圖術前可見明顯陰影與可見白色膿包,務必儘速治療
治療後


上圖術後陰影消失與可見白色膿包消失
從膿腫的壞死牙神經作細菌培養增菌後,經由以下方法作菌種分類:革蘭氏染色、菌落型態、抗生素感受性試驗、生化測試等等。

圖中為膿腫壞死神經常見的厭氧菌分布比例
長期感染可能導致牙神經壞死
專性厭氧菌( obligate anaerobes )常出現在已填補外型完整深層長期感染之壞死牙神經內如一旦引爆發炎會引發嚴重紅腫熱痛症狀由於常源自神經,此時診斷出患牙部位即刻打開神經腔抽出壞死神經, 內滋長的厭氧菌一遇空氣的氧氣, 馬上毒氣排溢, 致病病毒破壞, 壓力紅腫急速降低,病狀甦癒,此常出現在發燒、臉腫、診斷不出病因之蜂窩組織炎病患。
而此類患牙來自於有外傷牙冠完整(放射片攝影出現可透性病兆), 已補蛀牙又二度齟齒,長期蛀牙,第一級牙中牙(type I dens invaginatus ) 根尖病變引發感染牙,厭氧性蜂窩組織炎等。當此牙齒具廔管滲出膿液時,已有甦流管道排出分泌毒液,故不會立即引發遽烈症狀,已由急性轉為慢性,即使根管治療診療後,其牙根周膜膿瘍造成之明顯骨頭病兆的癒合時間也會拉長。
牙齦膿疱對症治療
準確診斷對症治療是治療的不二法門;牙齦出現乳白色膿腫時,務必就醫診治,先診察病因,如源自牙周病源則須施予牙周病治療如超音波潔牙,牙周搔刮手術或牙周翻辮手術。
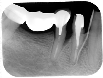
治療前


上圖術前可見明顯陰影及可見白色膿包
治療後


上圖術後可見骨頭較緻密及可見白色膿包消失
極少之來自牙髓牙周合併病源,則須施予根管(抽神經)治療以及牙周病治療。而大多數源自牙髓感染(牙神經)病因,則診斷出患牙部位後,施予精準完整的根管治療即可牙根周圍膿腫或牙根周膜炎治癒,使得放射片攝影呈現病兆癒合,當然牙齦就徹底不再出現乳白色膿瘍分泌物。

德威國際牙醫口腔醫院 李麗莞醫師

